병원 전화번호:02-808-7775
치질
대장용종
대장내시경
변비
대장암/직장암
의료상담
병원소개
언론보도
유튜브
대장내시경
대장내시경
선종 발견율
대장내시경이란
대장내시경사진
본원 대장내시경 특징
대장내시경
>
대장내시경
>
대장내시경사진
게실
과립형용종
암
용종
편평형용종
장결핵
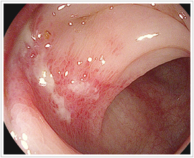
대장염
흑색증
게실
과립형용종
암
용종
편평형용종
장결핵
대장염
흑색증